Dental fluorosis
If you’re suffering from dental fluorosis and are feeling self-conscious about your smile, you’re not alone. Caused by excessive fluoride consumption, it can result in discolouration on the surface of the tooth.
Luckily, there is a range of options for you to create a dreamy smile, one of them being instasmile clip-on veneers.
Here’s what you need to know about dental fluorosis, including how to cover it and get your hands on an A-lister smile.
What is dental fluorosis?
Dental fluorosis is a cosmetic dental condition that is caused by excessive fluoride intake during tooth development, typically before the age of 8, when the adult teeth are still forming.
It occurs when high levels of fluoride are ingested (from drinking water, toothpaste, or fluoride treatments), leading to changes in the appearance of the enamel.
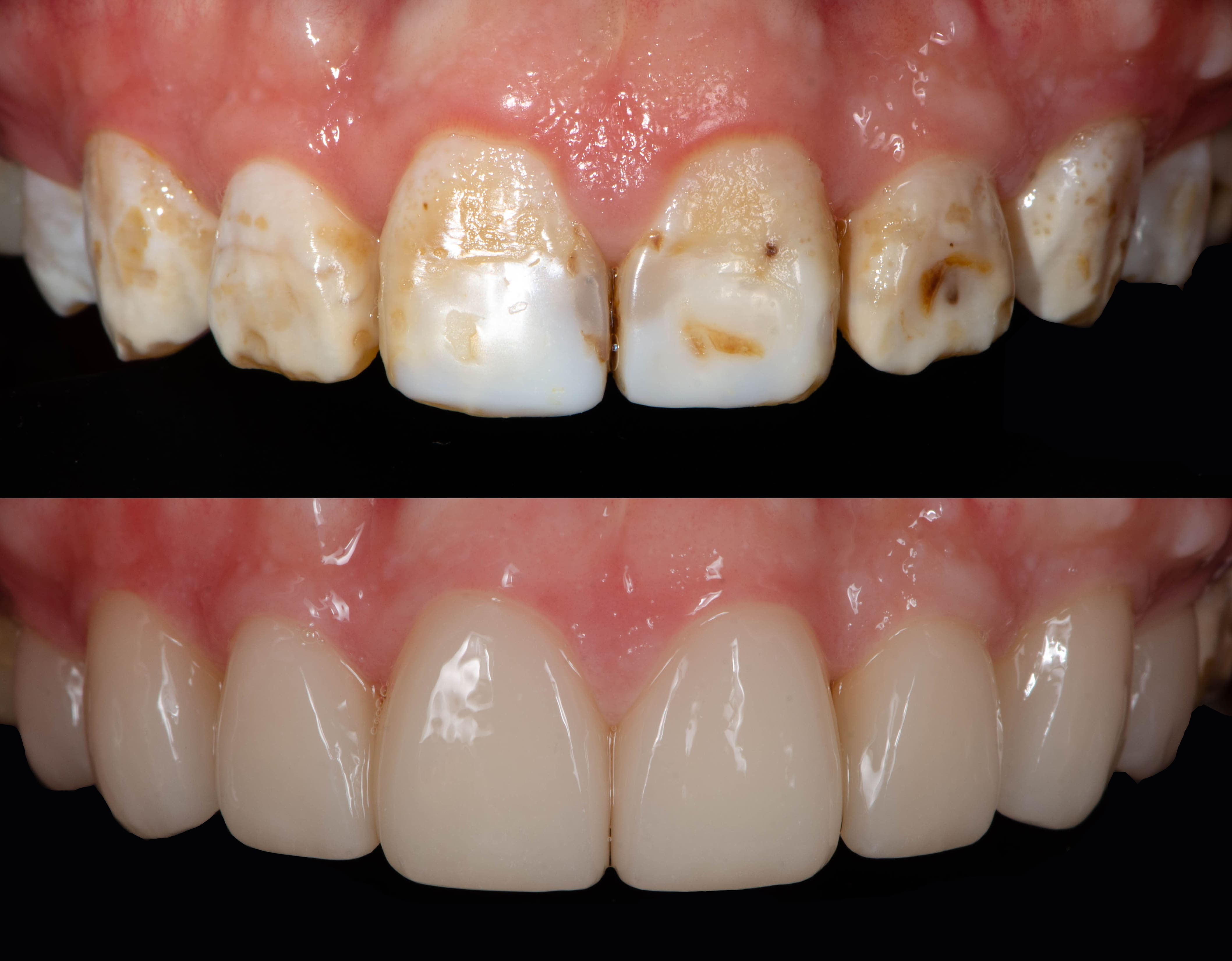
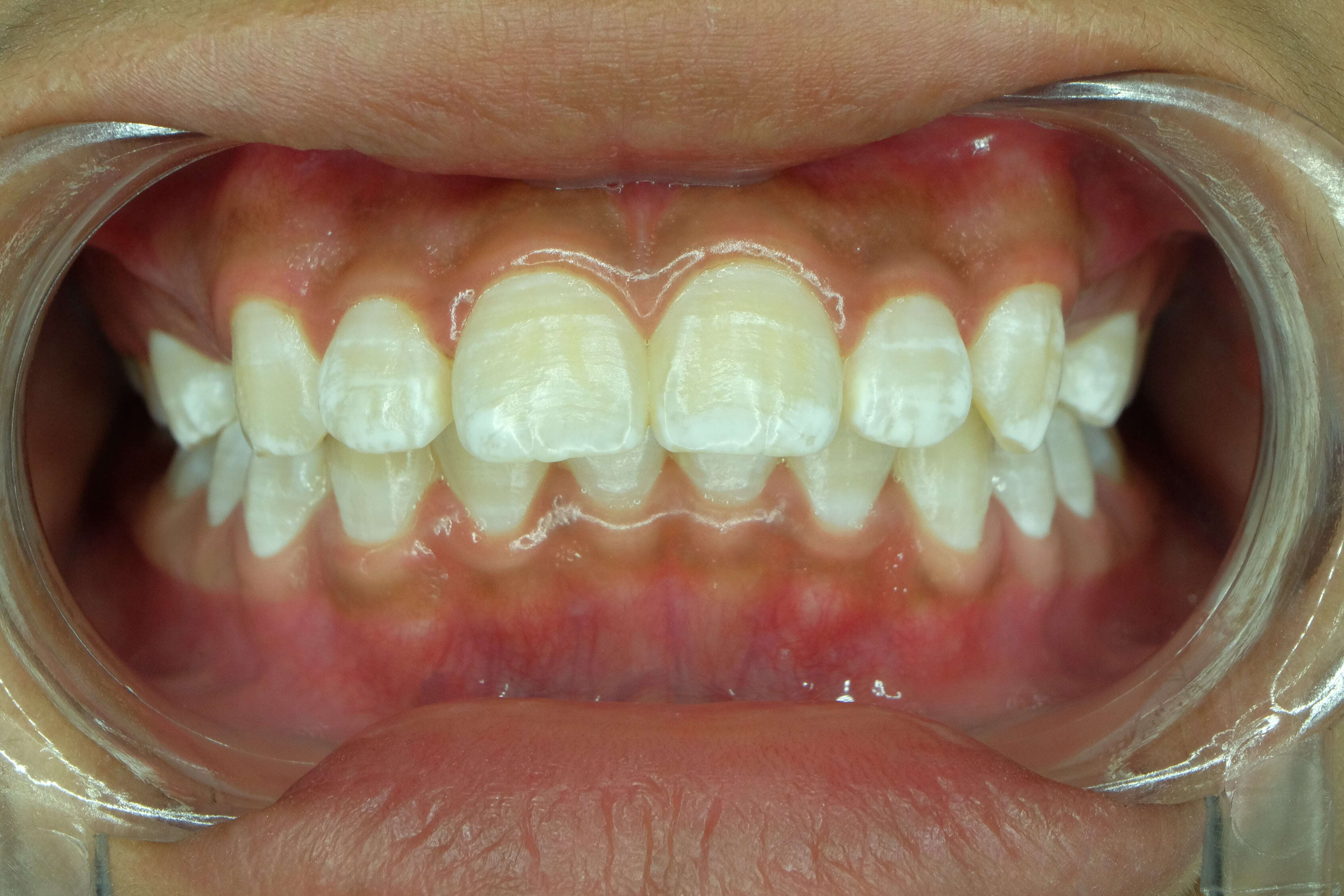
Like most tooth problems, the severity can vary. It starts with mild white streaks or spots, and more serious cases find brown stains, indentations, and weakened enamel.
While it is a cosmetic issue and most cases don’t escalate to affecting the function, it can cause low self-esteem.

Can you get veneers for dental fluorosis?
Veneers are a popular treatment for addressing a range of cosmetic dental concerns, including dental fluorosis.
It involves thin, custom-made shells being adhered to the front surface of the tooth to improve the appearance. Dental veneers improve aesthetics, durability, and function.
However, many patients require enamel removal to make room for the new addition, as well as maximising adhesion. This can lead to sensitivity and weak teeth, having further implications for the health of their teeth.
Other options for dental fluorosis include teeth whitening, dental/composite bonding, crowns, and enamel microabrasion. Although effective, the results are case-dependent, costly, and can take up to a few months to complete.
How instasmile can help with dental fluorosis
instasmile clip-on veneers are the perfect way to cover dental fluorosis if you don’t want to go down the cosmetic surgery route.
They are pain-free, require no dental visits, and are much cheaper than surgical options. You don’t have to worry about increased sensitivity due to enamel removal or an unnatural look - check out some of our recent case studies to see for yourself!
instasmile is a smile solution that clips over your teeth for a perfected smile - choose from top, bottom, or both, in one of four shades. And, with an at-home impression kit, you don’t have to leave the house to get your dream smile.
Once you’ve made your impression, all you need to do is send it back to us. We’ll then get to work creating and refining your new smile.
Within just a few weeks, your instasmile smile solution will arrive at your door, and it’s time to embrace your newfound confidence. Wear all day, every day or just when you need a boost for special occasions.


