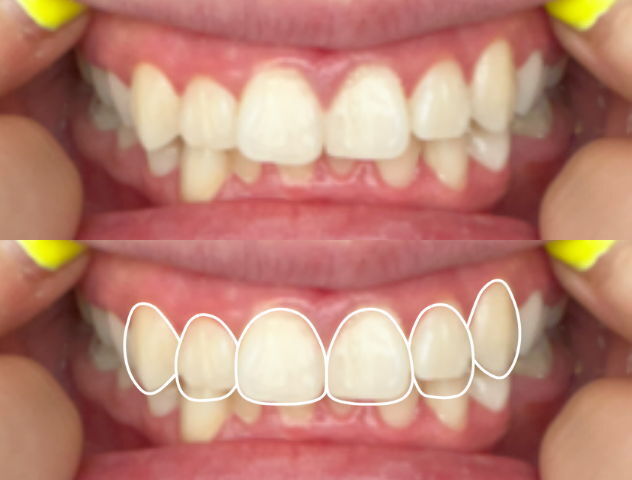
Alli came to us wanting a brighter,
whiter smile.
Transform a Stained Smile into a Bright One with instasmile.
instasmile gives you a fast and comfortable way to hide stains and discolouration. Enjoy the look of a naturally whiter smile and feel confident again in photos, conversations, and everyday life.
Transform a Stained Smile into a
Bright One with instasmile.
instasmile gives you a fast and comfortable way to hide stains and discolouration. Enjoy the look of a naturally whiter smile and feel confident again in photos, conversations, and everyday life.
Clip-On Veneers Tailored to Your Smile
We create your custom veneers using advanced 3D technology, designed to cover chipped teeth and restore confidence. Each smile is made to fit comfortably and look natural, so you can enjoy a straighter, whiter smile that feels like you.
Clip-On Veneers Tailored to Your Smile
We create your custom veneers using advanced 3D technology, designed to cover stained teeth and restore confidence. Each smile is made to fit comfortably and look natural, so you can enjoy a straighter, whiter smile that feels like you.
We designed Alli's veneers from the 3D scan
created from her impressions.
The final look! A whiter,
straighter appearing smile.
Our Stained Teeth Transformations
Discover the smile-transforming Before & Afters from our customers with stained teeth.


